審美治療症例⑨|世田谷区上北沢駅徒歩2分の歯医者|上北沢歯科

お車でお越しの患者さまへ駐車場変更のお知らせ

保存治療

東京都世田谷区上北沢3-17-8 NAYUTAビル1階

執筆著書・講演情報はこちら

03-3329-5068

審美治療症例⑨

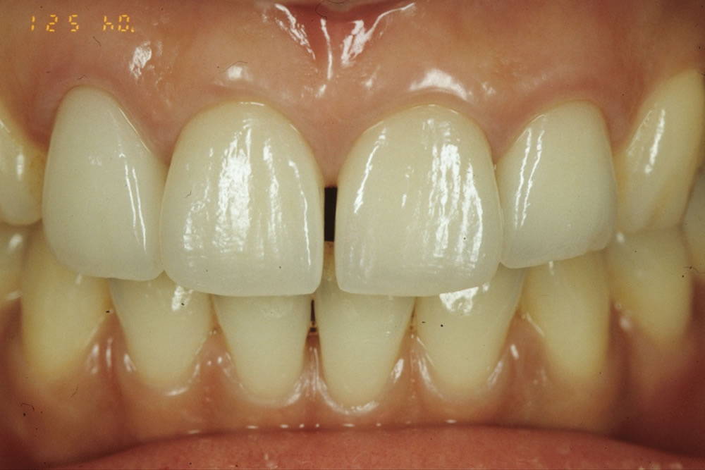
前歯の審美治療症例(28歳 女性)

治療前

審美治療症例

治療後

審美治療症例

他院でのセラミック治療後、前歯に生じた隙間を改善したとのことでご来院された患者さまです。4本のセラミッククラウンを再治療し、見た目を改善しました。再度、隙間が生じないため、真ん中をつなげていますが、見た目には分からないような審美的細工をしています。

年齢・性別 28歳 女性
治療期間 6ヵ月
治療回数 8回
治療費 660,000円(税込)
リスク ・過度な力が加わると被せ物が破損したり、外れたりする場合があります。
・症例によっては、歯を多く削る場合があります。

トップへ戻る